Sharper Diagnosis Through Acuity
This was the lens through which Catapult evaluators reviewed the Acuity DXPD intraoral sensor from AMD. Recognized for its Picasso lasers, AMD is committed to providing dentists with tools that combine advanced technology and dependable performance, while keeping affordability at the forefront of product design.
The Review
Catapult Education evaluators clinically tested the Acuity DXPD intraoral sensor using AMD’s dedicated native software. By removing the variability of third-party connections, evaluators were able to experience the sensor’s full potential.
The results were impressive:
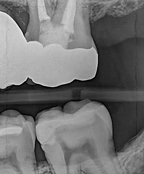
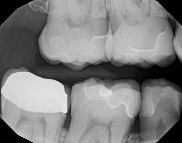
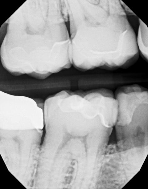
In my own practice, I compared two bitewings from the same patient, one taken with Acuity and one with our existing sensor, using identical exposure settings. The Acuity image immediately stood out. It showed noticeably sharper definition, cleaner contrast, and clearer interproximal visibility. The improvement was visible at a glance and reinforced the diagnostic advantages reported by our evaluators. This kind of image sharpness saves time and reduces retakes.
The Catapult evaluators echoed similar experiences across their practices:
This combination of image quality and workflow efficiency translated directly into greater diagnostic confidence and improved patient care. Acuity is priced at around $3,500 for size 1 and $4,500 for size 1.5, which evaluators considered fair and competitive. Where AMD truly differentiates itself is in its 3-year manufacturer warranty and optional no-questions-asked coverage, a level of support not typically seen with competing products. This reflects AMD’s commitment to affordability, accessibility, and long-term value for the practicing dentist.

Listen to the Product Review Podcast Episode
Hosted By: Kevin Henry featuring Dr. Chris Catalano
Congratulations: AMD's Acuity DXPD Intraoral Sensor
Learn More about Ultradent
Products for Your Patients
Say NO to boring CE.
new on-demand and LIVE online courses!









